CD31+/ CD45- ECFCs™
Endothelial Colony Forming Cells
CD31, a single-pass type I transmembrane glycoprotein, is
typically expressed on endothelial cells, platelets, leukocytes,
and their precursors. On a cell, CD31 mediates adhesion
between cells that express CD31, namely endothelial
cell-endothelial cell adhesion and leukocyte-endothelial cell
adhesion. At this time, there is no enzymatic activity known to
be associated with CD31.

Endothelial Colony Forming Cells (ECFCs)have not only the
molecular but also functional characteristics of endothelial
cells
in vitro and in vivo. They are negative for CD45, a
tyrosine phosphatase receptor found in high concentration
on various leukocyte lineages, further suggesting that these
are the true endothelial progenitor cells.

Areas of research interest for ECFCs include tumor blood
vessel development, blood vessel growth and repair, tissue
ischemia, vasculogenesis and angiogenesis.
ECFCs from Cord Blood
Catalog Number
Aliquot
26-5001-19
500,000 Cells
26-5001-21
1,000,000 Cells
26-5001-23
5,000,000 Cells
Ordering Information
Download a Sample Certificate of Analysis


Download a List of References for ECFCs


Request More Information
ECFCs are sold under license from EndGenitor Technologies, Inc.

Endothelial Colony-Forming Cells  and ECFCs are trademarks of EndGenitor Technologies, Inc.

ECFCs are covered under US patent 20050266556 and foreign counterparts.

CD refers to Cluster of Differentiation.

Copyright 2007, Dynacell Life Sciences, LLC.
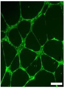
ECFCs™ differentiating to form tube-like
capillaries when stimulated
in vitro.